Dental Implants

Orthodontic Braces Treatment

Dental Implants

Orthodontic Braces Treatment

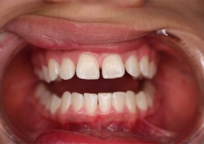
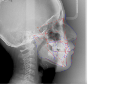
Many of us are not born with picture perfect teeth. For the straight teeth and alignment many people are searching for, braces is a common and effective treatment. Precision Dental Care uses the latest X-Ray technology to trace and model your teeth for your unique dental needs. From crooked teeth to alignment issues, braces can solve a variety of oral concerns.

Dr. Fonseca has years of experience so you can count count on the results you want. Trust our team to guide you through the experience every step of the way for a comfortable fit.

Call our offices at 239-231-4709 to discuss whether braces are right for you and your dental health. If you have a question concerning your braces or experiencing issues with your equipment our friendly, professional team is ready to answer any and all of your questions.

Before and After Gallery

Have a Question?

Contact

3877 Tamiami Trail E.
Naples, FL 34112