Dental Implants
Implants
Dental Implants
Implants
Are you missing one or more teeth and looking for a reliable, long-term solution? Dental implants offer a natural-looking and permanent option to restore your smile and regain your confidence. At [Your Dental Practice], we specialize in providing high-quality dental implant services tailored to meet your unique needs.
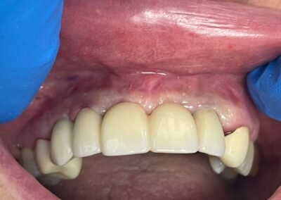
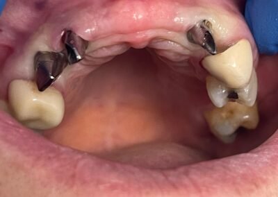
What are Dental Implants?
Dental implants are titanium posts surgically placed into the jawbone to serve as artificial tooth roots. These posts fuse with the bone over time, providing a strong foundation for the replacement teeth. Customized crowns, bridges, or dentures are then securely attached to the implants, creating a seamless and functional smile.
Benefits of Dental Implants:
- Restored Functionality: Dental implants function and feel like natural teeth, allowing you to eat, speak, and smile with confidence.
- Enhanced Aesthetics: Implants blend seamlessly with your existing teeth, providing a natural and aesthetically pleasing appearance.
- Long-Term Solution: With proper care, dental implants can last a lifetime, making them a durable and cost-effective option in the long run.
- Preservation of Jawbone Health: Implants stimulate the jawbone, preventing bone loss and maintaining the integrity of your facial structure.
Call our offices at 239-231-4709 to discuss denture options for you or a family member. If you have a question concerning your dentures or are experiencing loose and ill-fitted dentures, give us a call and discuss adjusting your current pair. Our friendly, professional team is ready to answer any and all of your questions.
Have a Question?
Contact
3877 Tamiami Trail E.
Naples, FL 34112
