Dental Procedures
Dental Fillings
Dental Procedures
Dental Fillings
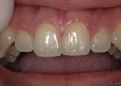
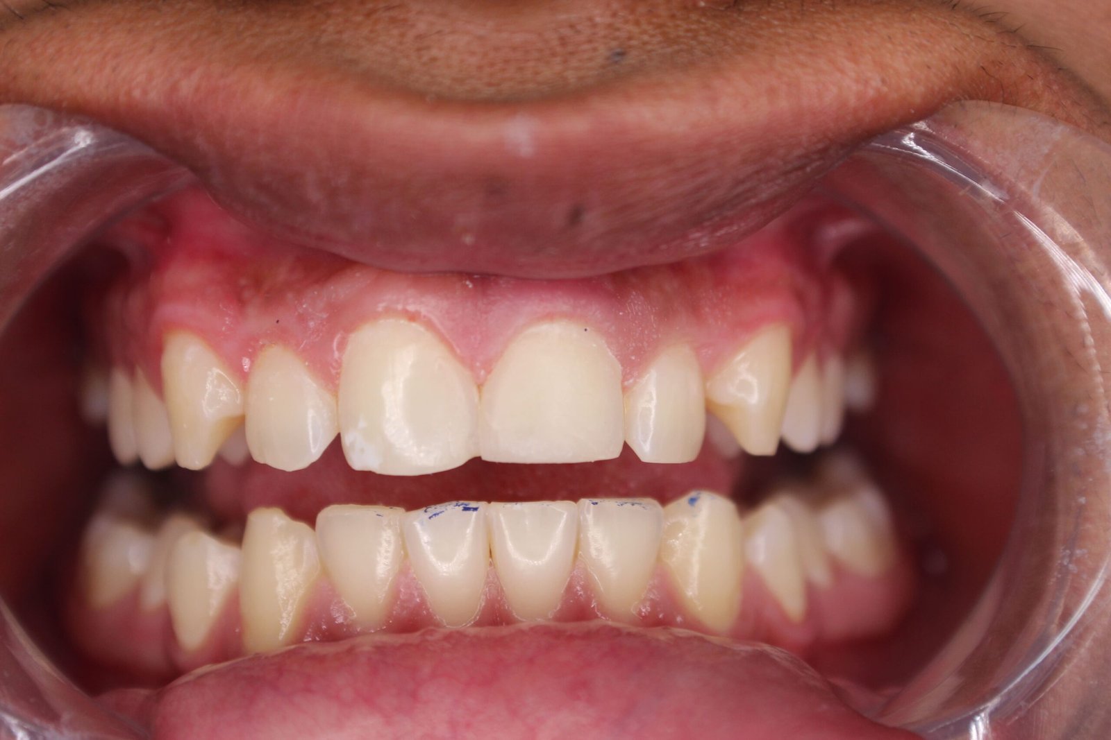
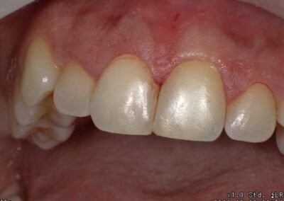
Dental fillings are required to treat cavities. This is done by removing the decayed portions of the tooth and filling the now empty spaces. There are many different types of filling materials, but the most popular are mercury-free composite resin that match the color of your teeth for seamless transition.
The resin not only fills the tooth’s cavity and restores its natural look, it also protects against further tooth decay.
Once the resin is applied, Dr. Fonseca will carefully shape the filling to fit and align with your tooth’s natural curves.
Have a Question?
Contact
3877 Tamiami Trail E.
Naples, FL 34112
